Заболеваемость микоплазменной пневмонией в России: текущая ситуация

Пожилые люди и дети остаются в группе риска заболевания.

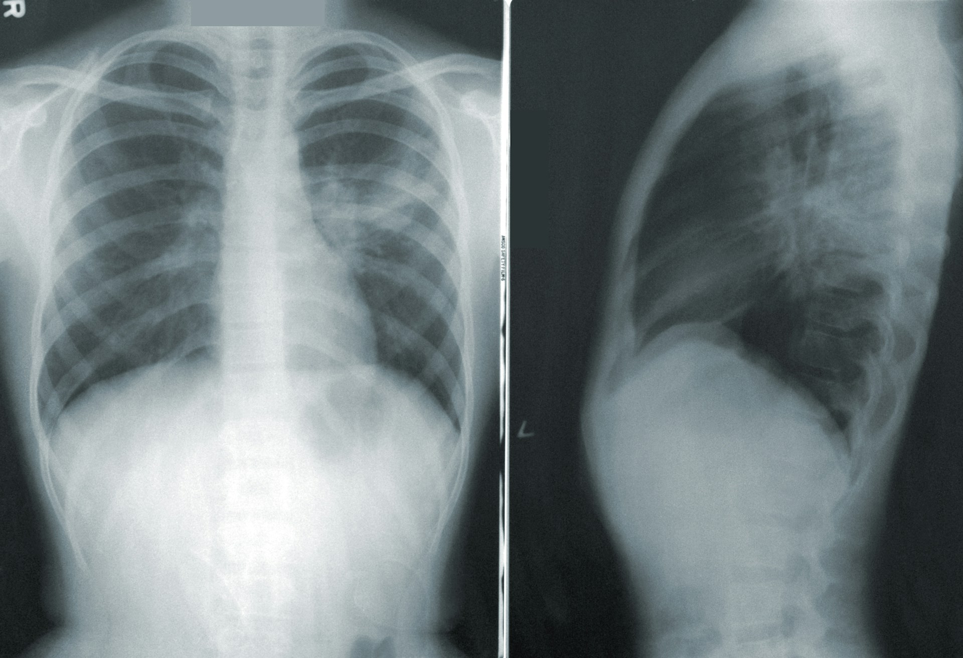
Заболеваемость микоплазменной пневмонией в России на сегодняшний день находится под контролем. По данным медицинских экспертов, ситуация в стране стабильна, однако определенные группы населения остаются в зоне риска.

К группе риска относятся пожилые люди и дети. Эти категории населения подвержены более высокому уровню заболеваний, поэтому необходимо уделять повышенное внимание их здоровью.

Врачи настоятельно рекомендуют следить за симптомами и при необходимости обращаться за медицинской помощью. Среди основных симптомов микоплазменной пневмонии можно выделить:

  • Кашель;
  • Лихорадка;
  • Одышка;
  • Боль в груди.

Важно отметить, что микоплазменная пневмония чаще всего возникает как осложнение после вирусных инфекций, таких как грипп или COVID-19. Поэтому вакцинация против этих заболеваний может служить профилактикой.

Специалисты напоминают, что соблюдение гигиенических норм и поддержание здорового образа жизни также играют важную роль в предотвращении заболеваний дыхательных путей. К ним относятся:

  1. Регулярное мытье рук;
  2. Избежание тесных контактов с больными;
  3. Поддержание иммунной системы с помощью витаминов и сбалансированного питания.

Несмотря на контроль за заболеваемостью, медицинские учреждения продолжают призывать население быть бдительными и заботиться о своем здоровье. Важно не игнорировать симптомы и обращаться к врачу при первых признаках недомогания.

Последние новости

Почему на панели оператора видно, когда производство устало: сигналы, которые нельзя игнорировать

Иногда машины говорят с нами языком графиков и лампочек, и внимательный инженер способен понять — производство устало. Панель оператора, как зеркало предприятия, отражает не только цифры, но и настроение всей системы.

Муниципальный этап Фестиваля спортивных семей

Формировать привычку к ведению здорового образа жизни необходимо начинать с детства, а делать это лучше всего на собственном примере.

Сквозь века: стойкие оловянные солдатики

У многих из нас есть хобби: кто-то увлекается разведением цветов, кто-то любит слушать музыку, собирать монеты, а гость Спеховской школы, житель посёлка Куженкино,

Коррекция фиброза и возрастных изменений: когда показан эндотканевой лифтинг

Как современная технология помогает вернуть коже упругость, убрать отёки и улучшить рельеф без хирургии

На этом сайте вы сможете узнать актуальные данные о погоде в Великом Устюге, включая прогнозы на ближайшие дни и часы

Комментарии (0)

Добавить комментарий

Ваш email не публикуется. Обязательные поля отмечены *